近日,来自新加坡的 Ochi 医生等人在 Int J Dermatol 刊文,报道了一则发生于儿童的罕见良性肿瘤病例。一起来学习。
病例介绍
患儿为 3 岁男孩,因左中指上方出现多个丘疹结节就诊。最初认为是蚊虫叮咬,2 周后变硬,6 月内逐渐增大。
查体可见左中指骨桡侧 1.2×0.9 cm 质硬结节和左中指骨尺侧 0.5×0.5 cm 的质硬丘疹(图 1)。

图 1 左中指桡侧结节和尺侧丘疹
X 片可见软组织肿胀,无骨质异常。
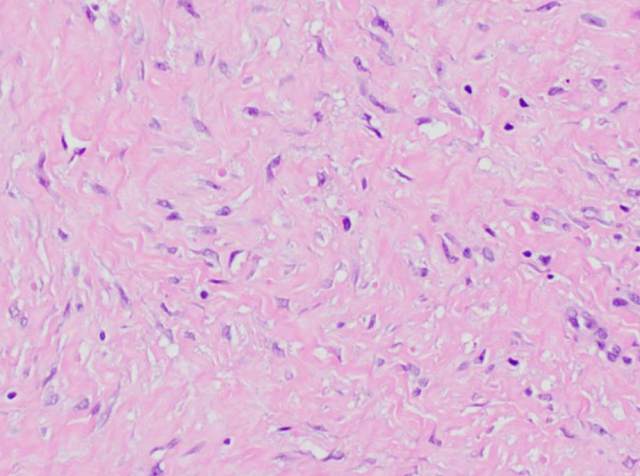
皮损活检后行组织病理学检查,可见梭形细胞,含圆形至卵圆形胞质包涵体,符合婴儿指趾纤维瘤病(图 2)。

图 2 大量梭形细胞,含圆形至卵圆形胞质包涵体(HE,×40)
皮损经手术切除及全层皮肤移植。术后 2 月,左食指尺侧远端指间关节上方再次出现新发结节(图 3)。

图 3 术后 2 月左食指尺侧远端指间关节新发结节
病例学习
婴儿指趾纤维瘤病(Infantile digital fibromatosis,IDF)是一种罕见的良性肌纤维性肿瘤。1/3 病例出现于出生时,大多病例在出生后的第 1 年内出现临床症状,偶见于青少年和成人。
IDF 可单发或多发,表现为光滑、圆形、质硬、粉色丘疹或结节,局限于手指侧面和背面,不累及拇指和第一足趾。大多皮损均无瘙痒和疼痛。这些皮损最初缓慢进展,随后数月快速生长,可能导致功能损害和挛缩。从未见恶变报道。
IDF 诊断主要依靠临床,主要鉴别诊断包括一些纤维瘤病,例如指厚皮症、终端骨发育不良-色素性缺陷综合征、瘢痕疙瘩和幼年腱膜纤维瘤。
此病组织病理示真皮内梭形的肌成纤维细胞增殖,胞质内含有核周嗜酸性包涵体,电子显微镜检查示肿瘤细胞具有肌成纤维细胞性质。Masson 三色染色呈红色,弹力纤维 Elastica van Gieson 呈黄色,磷钨酸-苏木精呈深紫色。免疫组化研究表明这些包涵体为肌动蛋白和波形蛋白。
虽然 IDF 确切病因尚不清楚,但创伤可能是触发因素。有学者认为,成纤维细胞向肌成纤维细胞的分化是伤口愈合的重要事件。肌成纤维细胞产生的收缩力是生理性组织重塑的关键,但在增生性瘢痕等过度重塑过程中则有害。控制肌成纤维细胞分化的分子是影响其存活的靶点,这包括α-平滑肌肌动蛋白、肌成纤维细胞骨架、膜表面蛋白和细胞外基质(I 型、III 型、IV 型和 V 型胶原)。
事实上,考虑到 IDF 和瘢痕疙瘩的肌成纤维细胞含量相似,本例患儿左中指和食指 IDF 皮损位置邻近,提示摩擦和皮肤张力增加(使瘢痕疙瘩恶化)也可能在 IDF 的发生中起重要作用。
由于此病罕见,尚无明确手术适应证和手术指引。下列病变病患者可考虑完全切除:侵袭性生长可能导致关节畸形;肌腱或韧带受累;手指畸形或挛缩;并发关节活动度降低。
报道显示 Mohs 显微外科手术疗效良好。非手术治疗包括外用咪喹莫特、外用或皮损内注射糖皮质激素及皮损内注射 5-氟尿嘧啶。不过最近也有研究支持临床观察,一位 IDF 病程良性,有自发消退趋势。
